Smile Makeover Results
Cosmetic Dentistry Before and After Photos from Our Bloomington, Illinois Practice
To see what a smile makeover can accomplish, take a look at our cosmetic dentistry before and after photos. Our Bloomington, Illinois patients love their new, beautiful smiles and are happy to show them here. Our dentists, Dr. Wyse and Dr. Chrisman, have used a variety of different techniques and procedures to produce the stunning results seen here.
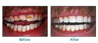
This patient had dark stains and several broken teeth marring his cheerful grin. We were able to improve the aesthetics of his smile while preventing further damage to the teeth.
Chronic decay kept this patient from looking his best. We used all-porcelain crowns and veneers to restore the functionality and appearance of strong, healthy teeth.
When we took the first of these cosmetic dentistry before and after photos, this patient would smile only tentatively, keeping most of his worn down and darkly discolored teeth hidden. We were able to use porcelain veneers to improve the shape and color of his teeth, giving him a reason to smile with confidence from now on.
The dazzling brightness of this patient’s smile was counteracted by the asymmetrical gum line and small spaces between some of her teeth. We used gingival recontouring to even out the gums and placed six porcelain veneers to close the spaces. Her smile is now smooth and proportionate and even more radiant than before.
The large gaps between this patient’s teeth would have been difficult, if not impossible, to fix with orthodontics. Fortunately, we were able to use porcelain veneers and an all-porcelain crown to correct the issue beautifully and in just two days.
The young woman shown here had what dentists call a “gummy smile” caused by excess gingival tissue covering part of her front teeth. By removing some of that excess tissue through a process called gingival recontouring, we were able to give her teeth a more balanced, aesthetically pleasing look. We used six porcelain veneers to further improve the shape and proportions of her teeth.
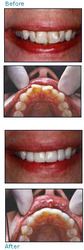
In addition to having some crooked and discolored teeth, this patient had some teeth missing. We used porcelain veneers to close the spaces and give this patient a bright, even, and beautiful smile makeover.
This patient had old fillings that were posing aesthetic as well as structural problems. We were able to restore gleaming beauty and stability to her teeth using six porcelain veneers. Continue on to see more cosmetic dentistry before and after photos from our Bloomington, Illinois practice.
This patient also had some old fillings, as well as a crooked appearance in her smile, caused by the uneven edges along her front teeth. We used porcelain veneers to cover her teeth, enhancing the appearance and lending support to her fillings.
This patient’s teeth had been worn down by the effects of time. By using porcelain veneers and all-porcelain crowns, we gave her a brighter, younger-looking smile.
This patient’s nice, even smile was marred by stains. Zoom!® teeth whitening and four porcelain veneers were used to whiten and brighten this beautiful smile.
Three porcelain veneers and one all-porcelain crown were all it took to restore this patient’s worn down and damaged smile to its former strength and beauty. The results of this smile makeover are a beautiful smile and a happy patient.
Several issues contributed to this patient’s desire for a smile makeover. His teeth were crooked, with noticeable gaps between some of them. There was also some discoloration and a couple of the teeth were damaged. We were able to solve all of these problems with the use of four porcelain veneers and two all-porcelain crowns, making it possible for the patient to smile with confidence.
This patient’s teeth were yellowed by time and plagued by old restorations. We used porcelain veneers and all-porcelain crowns to give her a brilliant, beautiful smile.
Crooked and uneven teeth were the problem that brought this patient to our office in Bloomington, Illinois. Porcelain veneers were the solution. Now his smile is straighter, brighter, and more even than he ever imagined.
After a smile makeover using six porcelain veneers, this patient no longer needs to hide her crooked teeth. She can show off her straighter, whiter smile with confidence.
This patient’s nice, straight teeth had been badly discolored over time. We used 18 porcelain veneers to renew their white, bright color and enhance their proportions to make them even more beautiful than before.
This patient came to our office with rampant decay and he wasn't sure what could be done for him. We removed the decay and saved his teeth; restoring them with porcelain crowns and a bridge.
This patient didn't want to wear braces but she was unhappy with her crowded teeth. Dr. Jay gave her a new beautiful smile with porcelain veneers and crowns.

This patient didn't like the fact that her front teeth were crooked, but had no desire to go through the trouble and hassle of braces. We were able ti straighten her teeth, as well as removing the stains, without the use of orthodontics treatment. Now that is definitely something to smile about.
Contact Us for a Smile Makeover in Bloomington, Illinois
If you are interested in a smile makeover and you like what you have seen in our cosmetic dentistry before and after photos, please contact the Bloomington, Illinois office of Wyse Family & Cosmetic Dentistry today.

